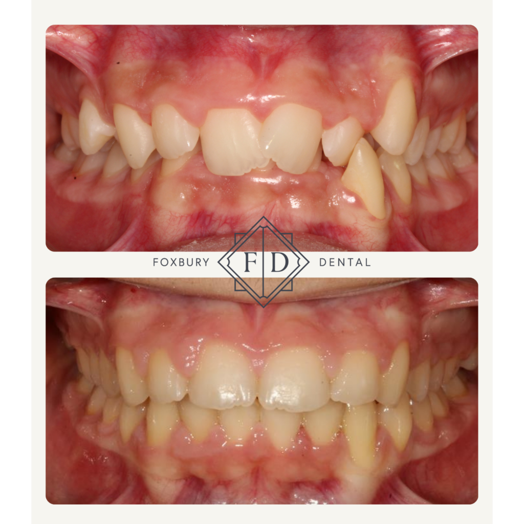
🎉 Fresh for 2026 – Smile Offer for Children! 🎉
Save £750
Towards Treatment
+ an extra £400
OFF on top
Starts From
£1,948
Regular Price
£34/mo*
With 0% Finance
up to 60 months
Limited to first 5 Patients Only
FREE Smile Assessment
Worth £100
FREE 3D Scan
Worth £200
FREE Scale & Polish
Worth £150
FREE Retainers
Worth £300
Total Package Value: £750 - Your Child's FREE! + an extra £400 off!!
T&C Apply
Every smile is unique, and treatment needs can vary from patient to patient. The prices listed in this offer are provided as a general guide only. Your exact cost may differ depending on the complexity of your case. For an accurate quotation and personalised treatment plan, we highly recommend booking a free consultation. Please feel free to give us a call or visit the practice — our team will be happy to assist you.











